
近日,两位38岁宝爸同一天因为急性心梗被送进医院,且都发生在运动后,一个陪娃打了10分钟羽毛球在线股票炒股配资门户,一个陪娃爬了次山,这到底是怎么回事?
打了10分钟羽毛球,心脏就受不了了
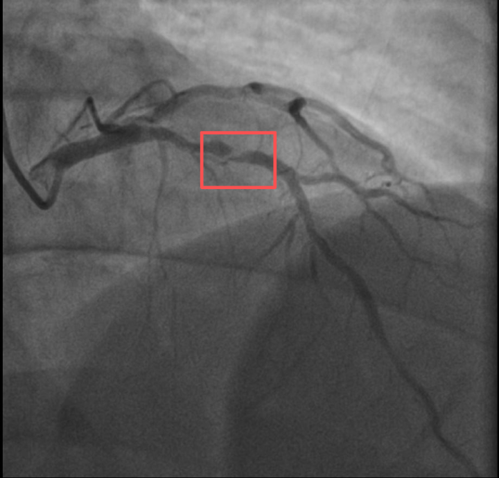
孙先生(化名)身高173cm,体重约90KG,是一位羽毛球教练。一年前,他因胸闷就诊时被查出心脏右冠中段、远端钙化斑块,以及心脏三支主要血管之一前降支中段60%狭窄。
当时考虑到没有三高的危险因素(可能为早发冠心病家族史),孙先生也坚信自己可以通过运动恢复健康,因此拒绝了介入治疗,只接受药物治疗。

介入治疗前影像图
近日,孙先生带孩子去练习羽毛球,没想到上场挥杆仅10分钟左右,孙先生就因心前区剧烈绞痛被送进了急诊。
医生分析,剧烈运动导致孙先生心脏的不稳定斑块破裂,进而造成前降支近段次全闭塞。所幸送医及时,孙先生的身体险情被化解。
爬了一次山,隔天就胸痛
同一天,38岁的钱先生(化名)也有类似遭遇。
钱先生的血糖一直偏高,服药后控制不佳,但他并没有太上心。周末,他和孩子爬了一座山,隔天就因突发胸骨中段压榨性疼痛被送到了急诊,最后被证实也是心梗——心脏三支主要血管之一回旋支远段次全闭塞。
医生介绍,钱先生来院时血糖12.79mmol/L(正常空腹值应该在3.9~6.1mmol/L),甘油三酯也超标。“三高”是导致动脉粥样硬化(包括心脏的冠状动脉)的主要危险因素,在冠状动脉粥样硬化早期,血管狭窄可能并不严重,仅当血管狭窄到一定程度时,在运动、情绪激动等情况下,心肌耗氧量增加,就可能造成心梗等急性心肌缺血事件。
所幸及时治疗,钱先生也转危为安。
高危人群不要随意给锻炼“上强度”
长期规律、适度的运动是预防心血管疾病最有效的方式之一,但对于已有潜在心脏问题或高危因素的人群,突然、剧烈的运动却可能成为急性心肌梗死的“导火索”。
医生提醒,可以通过测量运动后的血压来判断是否运动过量。运动后血压会有所上升,但不会>140/90mmHg。如若运动后发现血压>180/110mmHg,即便是后面下降到正常区间,仍说明运动过度,要及时减少运动量。
新快报综合新闻坊、浙江医院在线股票炒股配资门户
明鼎配资提示:文章来自网络,不代表本站观点。